Radiologic Sign of the Day (CT) for COVID: Crazy Paving
On cross sectional CT imaging of the lung, sometimes, you might see what is known as thickened interlobular and intralobular lines (opacities)...
How to read a COVID-19 Chest X-Ray – visual guide
How to read a COVID-19 Chest X-Ray - visual guide
Coronal Chest CT: COVID demonstrating Nodular and Mass-like Airspace Opacities
(RSNA) - CT Chest coronal view demonstrates multifocal nodular and mass-like airspace opacities in both lungs. Source: Song et al, Radiology...
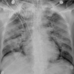
What does COVID look like on a chest xray?
(RSNA) Case example of diffuse non-specific airspace opacities in both lungs in an intubated patient with confirmed COVID diagnosis on day 6...







