Kaposi Sarcoma (classic type-genital lesions)
Submitted by Alaa Saad to dermRounds Dermatology Network
Verruca Vulgaris (lips)
Submitted by Alaa Saad to dermRounds Dermatology Network
Verruca Vulgare (tongue)
Submitted by Alaa Saad to dermRounds Dermatology Network
Desmoplastic Trichoepithelioma
Submitted by Deepak Ghimire to dermRounds Dermatology Network
Stevens-Johnson Syndrome
Submitted by Alaa Saad to dermRounds Dermatology Network
Lepromatous Leprosy
Submitted by Alaa Saad to dermRounds Dermatology Network
Lichen Planus (genital)
Submitted by Alaa Saad to dermRounds Dermatology Network.
Psoriasis
Psoriasis
Submitted by Dr. Shahbaz A. Janjua to dermRounds Dermatology Network
Porokeratosis
Porokeratosis
Porokeratosis is a genodermatosis (autosomal dominant) Porokeratosis is typically seen as a keratotic plaque surrounded by a...
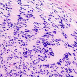
Schwannoma, histopathology, high mag.
Peripheral schwannoma, Antoni type A, Verocay bodies
Peripheral schwannoma, Antoni type A, Verocay bodies













